본문 바로가기

가이드 임플란트

앞니 임플란트

원래의 내 치아 보다
더 아름다운 앞니임플란트!

앞니는 하루만 없어도 대인관계에 영향을 주는 사회적 심미적인 기능이 강한 치아입니다.

앞니의 잇몸뼈는 다른 부위에 비해 얇기때문에 임플란트 식립 시
픽스쳐의 선택과 정확한 위치에 임플란트를 식립하는 것이 매우 중요합니다.

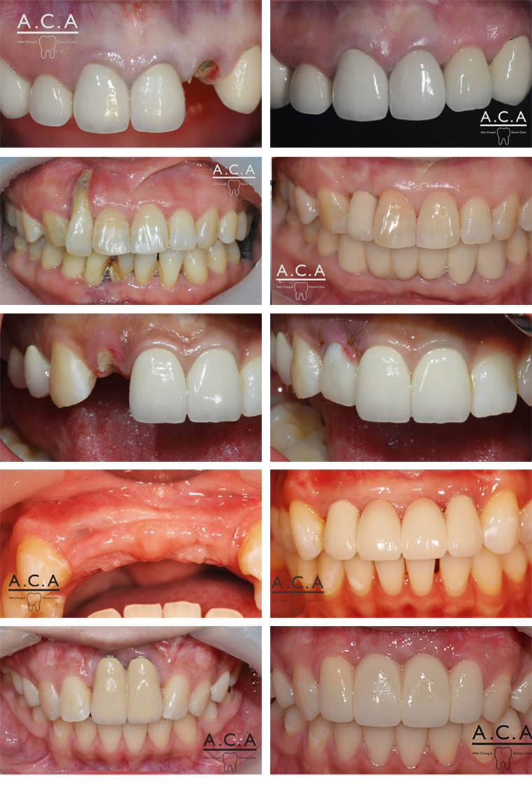
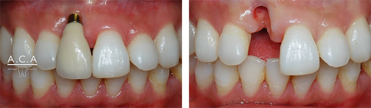
잇몸뼈와 잇몸의 부족으로 실패한 앞니임플란트

( 타치과에서 성급하게 앞니임플란트를 진행 후 실패한 사례로 에이블청아치과 리퍼된 사례)

잇몸뼈가 얇은 상태에서 추가적인 시술없이 임플란트만 식립하여 임플란트가 그대로 노출되어
심미성이 크게 떨어진 실패한 앞니임플란트로 뼈이식과 잇몸이식을 이용하여 치료했습니다.

뼈이식과 함께 1차 2차에 걸친 잇몸이식수술을 진행

실패한 임플란트의 완벽한 복원

앞니임플란트 사례

원래의 내 치아 보다 더 아름답게!
뛰어난 심미성과 자연스러움을 갖춘 에이블청아 앞니임플란트

앞니임플란트는 심미성이 중요합니다.

에이블청아치과 권혁진원장님은 미국 UCLA치과대학에서 심미보철과정을 수련하여
자연스럽고 아름다운 앞니임플란트를 만듭니다.

대표원장 권혁진

원칙을 지키는 안전 프로세스

무사고 치과병원 / 철저한 감염관리 시스템 / 사후관리 보중제

에이블 청아치과

건강하고 아름다운 치아만들기

에이블 스캔 임플란트 / 현미경 스케일 / 스키니비니어 / 원데이 세렉치료

임상케이스

CONTACT US
031
222.2875
top
개인정보처리방침

에이블청아치과의원 (이하 본 원 이라 함) 귀하의 개인정보보호를 매우 중요시하며, 『개인정보보호법』을 준수하고 있습니다. 본 원은 개인정보처리방침을 통하여 귀하께서 제공하시는 개인정보가 어떠한 용도와 방식으로 이용되고 있으며 개인정보보호를 위해 어떠한 조치가 취해지고 있는지 알려드립니다. 이 개인정보처리방침의 순서는 다음과 같습니다.

1. 수집하는 개인정보의 항목 및 수집방법
2. 개인정보의 수집 및 이용목적
3. 개인정보의 보유 및 이용기간
4. 개인정보의 파기절차 및 그 방법
5. 개인정보 제공 및 공유
6. 이용자 및 법정대리인의 권리와 그 행사방법
7. 동의철회
8. 개인정보 자동 수집 장치의 설치/운영 및 그 거부에 관한 사항
09. 개인정보관리책임자
10. 개인정보의 안전성 확보조치
11. 정책 변경에 따른 공지의무

1. 수집하는 개인정보의 항목 및 수집방법

본 원은 회원가입 시 서비스 이용을 위해 필요한 최소한의 개인정보만을 수집합니다. 귀하가 본 원의 서비스를 이용하기 위해서는 회원가입 시 필수항목과 선택항목이 있는데, 메일수신여부 등과 같은 선택항목은 입력하지 않더라도 서비스 이용에는 제한이 없습니다.

[진료정보]
– 수집항목 : 성명, 주민등록번호, 주소, 연락처, 진료기록
※ 의료법에 의해 고유식별정보 및 진료정보를 의무적으로 보유하여야 하여야 함(별도 동의 불필요)
[개인정보 수집방법]
– 다음과 같은 방법으로 개인정보를 수집합니다.
– 서면양식, 팩스, 전화, 상담 게시판, 이메일

2. 개인정보의 수집 및 이용목적
본 원은 수집한 개인정보를 다음의 목적을 위해 활용합니다.
이용자가 제공한 모든 정보는 하기 목적에 필요한 용도 이외로는 사용되지 않으며 이용 목적이 변경될 시에는 사전 동의를 구할 것입니다.

[진료정보]
– 진단 및 치료를 위한 진료서비스와 청구, 수납 및 환급 등의 원무서비스 제공

[홈페이지 회원정보]
– 필수정보 : 홈페이지를 통한 진료 예약, 예약조회 및 회원제 서비스 제공,
– 선택정보 : 이메일을 통한 본 원소식, 질병정보 등의 안내, 설문조사

3. 개인정보의 보유 및 이용기간
본 원은 개인정보의 수집목적 또는 제공받은 목적이 달성된 때에는 귀하의 개인정보를 지체 없이 파기합니다.

[진료정보]
– 의료법에 명시된 진료기록 보관 기준에 준하여 보관

4. 개인정보의 파기절차 및 그 방법
본 원은 『개인정보의 수집 및 이용목적』이 달성된 후에는 즉시 파기합니다. 파기절차 및 방법은 다음과 같습니다.

[파기절차]
이용자가 입력한 정보는 목적이 달성된 후 파기방법에 의하여 즉시 파기합니다.

[파기방법]전자적 파일형태로 저장된 개인정보는 기록을 재생할 수 없는 기술적 방법을 사용하여 삭제합니다.
종이에 출력된 개인정보는 분쇄기로 분쇄하거나 소각하여 파기합니다.

5. 개인정보 제공 및 공유
본 원은 귀하의 동의가 있거나 관련법령의 규정에 의한 경우를 제외하고는 어떠한 경우에도 『개인정보의 수집 및 이용목적』에서 고지한 범위를 넘어 귀하의 개인정보를 이용하거나 타인 또는 타기업ㆍ기관에 제공하지 않습니다.

국민건강보험법에 의해 건강보험심사평가원에 요양급여비용 청구를 위한 진료기록 제출 통계작성ㆍ학술연구를 위하여 필요한 경우 특정 개인을 알아볼 수 없는 형태로 가공하여 제공
법령에 정해진 절차와 방법에 따라 수사기관의 요구가 있는 경우 제출 등

6. 이용자 및 법정대리인의 권리와 그 행사방법
만14세 미만 아동(이하 “아동”이라 함)의 회원가입은 아동이 이해하기 쉬운 평이한 표현으로 작성된 별도의 양식을 통해 이루어지고 있으며 개인정보 수집시 반드시 법정대리인의 동의를 구하고 있습니다.
본 원은 법정대리인의 동의를 받기 위하여 아동으로부터 법정대리인의 성명과 연락처 등 최소한의 정보를 수집하고 있으며, 개인정보취급방침에서 규정하고 있는 방법에 따라 법정대리인의 동의를 받고 있습니다.

아동의 법정대리인은 아동의 개인정보에 대한 열람, 정정 및 삭제를 요청할 수 있습니다. 아동의 개인정보를 열람•정정, 삭제하고자 할 경우에는 회원정보수정을 클릭하여 법정대리인 확인 절차를 거치신 후 아동의 개인정보를 법정대리인이 직접 열람•정정, 삭제하거나, 개인정보보호책임자로 서면, 전화, 또는 Fax등으로 연락하시면 필요한 조치를 취합니다.

본 원은 아동에 관한 정보를 제3자에게 제공하거나 공유하지 않으며, 아동으로부터 수집한 개인정보에 대하여 법정대리인이 오류의 정정을 요구하는 경우 그 오류를 정정할 때까지 해당 개인정보의 이용 및 제공을 금지합니다.
※ 법에 의해 보관이 의무화된 개인정보는 요청이 있더라도 보관기간내에 수정•삭제할 수 없습니다.

7. 동의철회
개인정보관리책임자로 서면, 전화 또는 Fax 등으로 연락하시면 지체 없이 귀하의 개인정보를 파기하는 등 필요한 조치를 하겠습니다.

8. 개인정보 자동 수집 장치의 설치/운영 및 그 거부에 관한 사항
본 원은 귀하의 정보를 수시로 저장하고 찾아내는 ‘쿠키(cookie)’를 운용합니다. 쿠키란 본 원의 웹사이트를 운영하는데 이용되는 서버가 귀하의 브라우저에 보내는 아주 작은 텍스트 파일로서 귀하의 컴퓨터 하드디스크에 저장됩니다.

본 원은 다음과 같은 목적을 위해 쿠키를 사용합니다.본 원은 귀하의 정보를 수시로 저장하고 찾아내는 ‘쿠키(cookie)’를 운용합니다. 쿠키란 본 원의 웹사이트를 운영하는데 이용되는 서버가 귀하의 브라우저에 보내는 아주 작은 텍스트 파일로서 귀하의 컴퓨터 하드디스크에 저장됩니다. 본 원은 다음과 같은 목적을 위해 쿠키를 사용합니다.

09. 개인정보관리책임자
귀하의 개인정보를 보호하고 개인정보와 관련한 불만을 처리하기 위하여 본 원은 아래와 같이 개인정보관리책임자를 두고 있습니다.

[개인정보 관리책임자]
이름 : 권혁진
직위 : 대표원장
소속 : 에이블청아치과의원
전화번호 : 031-222-2875

개인분쟁조정위원회 (https://www.kopico.go.kr/ (02) 2100-2499)
정보보호마크인증위원회 (http://www.eprivacy.or.kr/ (02) 580-0533~4)
대검찰청 사이버범죄수사단 (http://www.spo.go.kr/ (02) 3480-3573)
경찰청 사이버테러대응센터 (http://www.ctrc.go.kr/ (02) 392-0330)

10. 개인정보의 안전성 확보조치
에이블청아치과의원 은 이용자의 개인정보보호를 위한 기술적 대책으로서 여러 보안장치를 마련하고 있습니다. 이용자께서 보내시는 모든 정보는 방화벽장치에 의해 보호되는 보안시스템에 안전하게 보관/관리되고 있습니다.

또한 에이블청아치과의원 이용자의 개인정보보호를 위한 관리적 대책으로서 이용자의 개인정보에 대한 접근 및 관리에 필요한 절차를 마련하고, 이용자의 개인정보를 취급하는 인원을 최소한으로 제한하여 지속적인 보안교육을 실시하고 있습니다. 또한 개인정보를 처리하는 시스템의 사용자를 지정하여 사용자 비밀번호를 부여하고 이를 정기적으로 갱신하겠습니다.

11. 정책 변경에 따른 공지의무
이 개인정보취급방침은 2016년 4월 1일에 제정되었으며 법령ㆍ정책 또는 보안기술의 변경에 따라 내용의 추가ㆍ삭제 및 수정이 있을 시에는 변경되는 개인정보취급방침을 시행하기 최소 7일전에 본 원 홈페이지를 통해 변경이유 및 내용 등을 공지하도록 하겠습니다.

공고일자 : 2023년 7월 1일
시행일자 : 2023년 7월 1일
[홈페이지 이용약관]

제 1 장 총 칙

제 1 조 (목적)
이 이용약관(이하 '약관')은 "에이블청아치과의원 "(이하 "에이블청아치과의원 "이라 합니다)과 이용 고객(이하'회원')간에 에이블청아치과의원 가 제공하는 서비스의 가입조건 및 이용에 관한 제반 사항과 기타 필요
한 사항을 구체적으로 규정함을 목적으로 합니다.

제 2 조 (이용약관의 효력 및 변경)
(1) 이 약관은 본 에이블청아치과의원 에 가입된 고객을 포함하여 서비스를 이용하고자 하는 모든 이용자에 대하여 서비스 메뉴 및 에이블청아치과의원 에 게시하여 공시하거나 기타의 방법으로 고객에게
공지함으로써 그 효력을 발생합니다. 약관의 게시는 에이블청아치과의원 홈페이지(www.skinup.co.kr)에서 확인할 수 있읍니다
(2) 에이블청아치과의원 은 합리적인 사유가 발생될 경우에는 이 약관을 변경할 수 있으며, 약관을 변경할 경우에는 지체 없이 이를 사전에 공시합니다.

제 3 조 (약관외 준칙)
① 서비스 이용에 관하여는 이 약관을 적용하며 이 약관에 명시되지 아니한 사항에 대하여는전기통신기본법, 전기통신사업법,정보통신망 이용촉진등에 관한 법률 및 기타 관계법령의 규정에 의합니다.

제 4 조 (용어의 설명)
① 이 약관에서 사용하는 용어의 정의는 다음과 같습니다.
1. '이용고객'이라 함은 회원제로 운영하는 서비스를 이용하는 이용자를 의미합니다.
2. '이용계약'이라 함은 서비스 이용과 관련하여 에이블청아치과의원 와 이용고객 간에 체결 하는 계약을 말합니다.
3. '이용자번호(ID)'라 함은 회원식별과 회원의 서비스 이용을 위하여 회원이 선정하고 에이블청아치과의원 가 승인하는 영문자와 숫자의 조합을 말합니다.
4. '비밀번호'라 함은 이용고객이 부여 받은 이용자번호와 일치된 이용고객 임을 확인하고 이용고객의 권익보호를 위하여 이용고객이 선정한 문자와 숫자의 조합을 말합니다.
5. '해지'라 함은 에이블청아치과의원 또는 회원이 이용계약을 해약하는 것을 말합니다.
② 이 약관에서 사용하는 용어의 정의는 제1항에서 정하는 것을 제외하고는 관계법령 및 서비스별 안내에서 정하는 바에 의합니다.

제 2 장 이용계약

제 5 조 (이용 계약의 성립)
(1) 이용계약은 이용하고자 하는 고객의 본 이용약관 내용에 대한 동의와 이용신청에 대하여에이블청아치과의원 의 승낙으로 성립합니다.
(2) 본 이용약관에 대한 동의는 신청시 에이블청아치과의원 사이트의 '동의' 버튼을 누름으로써 의사표시를 합니다.

제 6 조 (서비스 이용 신청)
(1) 본 서비스를 이용하고자 하는 이용고객은 에이블청아치과의원 에서 요청하는 정보(성명, 이메일,연락처 등)를 제공하여 회원으로 가입한 후 이용이 가능합니다
(2) 모든 회원은 반드시 회원 본인의 이름과 연락처를 제공하여야만 서비스의 이용이 가능하며 비실명의 경우 서비스 이용에 제한을 받으실 수 있습니다.
(3) 회원가입은 반드시 실명으로만 가입이 가능합니다
(4) 타인의 명의를 도용하여 이용신청을 한 회원의 ID는 사전예고없이 삭제가 될 수 있으며,관계법령에 따라 처벌을 받을 수 있습니다.
(5) 에이블청아치과의원 은 본 서비스를 이용하는 회원에 대하여 등급별로 구분하여 서비스의 이용에차등을 둘 수 있습니다.

제 7 조 (개인정보의 보호 및 사용)
에이블청아치과의원 은 관계법령이 정하는 바에 따라 서비스 이용자의 개인정보를 보호하기 위해 개인정보보호정책을 시행합니다. 이용자 개인정보의 보호 및 사용에 대해서는 관련법령 및 에이블청아치과의원 의 개인정보 보호정책이 적용됩니다. 그러나, 에이블청아치과의원 은 이용자의 귀책사유로 인해 노출된 정보에 대해서 일체의 책임을 지지 않습니다.

제 8 조 (이용 신청의 승낙과 제한)
(1) 에이블청아치과의원 은 제 6조의 규정에 의한 이용신청고객에 대하여 업무 수행상 또는 기술상 지장이 없는 경우에 서비스 이용을 승낙합니다.
(2) 에이블청아치과의원 은 아래사항에 해당하는 경우에 대해서 승낙하지 아니 합니다.
- 타인 명의의 신청 또는 이름이 실명이 아닌경우
- 허위 서류를 첨부하거나 허위내용을 기재하여 신청하는 경우
- 신용정보의 이용과보호에 관한 법류에 의한 PC통신, 인터넷 서비스의 신용불량자로 등록되어 있는 경우
- 사회의 안녕 질서 또는 미풍양속을 저해할 목적으로 신청한 경우
- 정보통신 윤리위원회에 PC통신, 인터넷 서비스의 불량 이용자로 등록되어 있는 경우
- 기타 에이블청아치과의원 가 정한 이용신청요건이 만족되지 않았을경우
(3) 에이블청아치과의원 은 서비스 이용신청이 다음 각 호에 해당하는 경우에는 그 신청에 대하여 승낙제한사유가 해소될 때까지 승낙을 유보할 수 있습니다.
- 에이블청아치과의원 가 설비의 여유가 없는 경우
- 에이블청아치과의원 의 기술상 지장이 있는 경우
- 기타 에이블청아치과의원 의 귀책사유로 이용승낙이 곤란한 경우
(4) 에이블청아치과의원 은 규정에 의하여 이용신청이 불승낙되거나 승낙을 제한하는 경우에는 이를 이용신청 고객에게 즉시 알려야 합니다.
(5) 에이블청아치과의원 은 이용신청고객이 미성년자인 경우에는 별도로 정하는 바에 따라 승낙을 제한할 수 있습니다.

제 3 장 계약 당사자의 권리와 의무

제 9 조(에이블청아치과의원 의 권리와 의무)
1. 에이블청아치과의원 은 회원으로 부터 제기되는 의견이나 불만이 정당하다고 인정할 경우에는 즉시 처리하여야 합니다. 다만, 즉시 처리가 곤란한 경우에는 회원에게 그 사유와 처리일정을 서면,
전자우편 또는 전화등으로 통보하여야 합니다.
2. 에이블청아치과의원 은 에이블청아치과의원 가 제정한 개인정보보호정책에 따라서 이용고객의 개인정보를 보호할 의무를 가집니다. 단, 법률의 규정에 따른 적법한 절차에 의한 경우에는 그러하지 않을 수 있습니다.
3. 에이블청아치과의원 가 제 2 항의 규정에도 불구하고 고지 또는 명시한 범위를 초과하여 이용고객의 개인 정보를 이용하거나 제 3 자에게 제공하고자 하는 경우에는 반드시 해당 회원에게 개별적으로 공지하여 동의를 받아야 합니다.
4. 에이블청아치과의원 은 계속적이고 안정적인 서비스의 제공을 위하여 설비에 장애가 생기거나 멸실된 때에는 지체없이 이를 수리 또는 복구합니다. 다만, 천재지변, 비상사태 또는 그밖에 부득
이한 경우에는 그 서비스를 일시 중단하거나 중지할 수 있습니다.
5. 에이블청아치과의원 은 이용계약의 체결, 계약사항의 변경 및 해지 등 회원과의 계약관련 절차 및 내용등에 있어 회원에게 편의를 제공해야 합니다.
6. 에이블청아치과의원 은 업무와 관련하여 회원의 사전동의 하에 회원전체 또는 일부의 개인정보에 관한 통계자료를 작성하여 이를 사용할 수 있고 서비스를 통하여 회원의 컴퓨터에 쿠키를 전송
할 수 있습니다. 이 경우 회원은 쿠키의 수신을 거부하거나 쿠키의 수신에 대하여 경고하도록 사용하는 컴퓨터의 브라우저의 설정을 변경할 수 있으며, 쿠키의 설정 변경에 의한 서비스 이용이 변경되는 것은 회원의 책임입니다.

제 10 조(회원의 권리와 의무)
1. 회원은 서비스를 이용할 때 다음의 행위를 하지 않아야 합니다.
- 다른 회원의 ID 및 비밀번호를 부정하게 사용하는 행위
- 서비스를 이용하여 얻은 정보를 회원의 개인적인 이용 외에 복사,가공,번역, 2차적 저작 등을 통하여 복제,공연,방송,전시,배포,출판 등에 사용하거나 제3자에게 제공하는 행위
- 타인의 명예를 손상시키거나 불이익을 주는 행위
- 에이블청아치과의원 의 저작권, 제3자의 저작권 등 기타 권리를 침해하는 행위
- 공공질서 및 미풍양속에 위반되는 내용의 정보,문장,도형,음성 등을 타인에게 유포하는 행위
- 범죄와 결부된다고 객관적으로 인정되는 행위
- 서비스와 관련된 설비의 오동작이나 정보 등의 파괴 및 혼란을 유발시키는 컴퓨터 바이러스감염자료를 등록 또는 유포하는 행위
- 서비스의 안정적 운영을 방해할 수 있는 정보를 전송하거나 수신자의 의사에 반하여 광고성정보를 전송하는 행위
- 정보통신윤리위원회, 소비자보호단체 등 공신력 있는 기관으로부터 시정요구를 받는 행위
- 선거관리위원회의 중지, 경고 또는 시정명령을 받는 선거법 위반 행위
- 기타 관계법령에 위배되는 행위
2. 회원은 이 약관에 규정하는 사항과 서비스 이용안내 또는 주의사항을 준수하여야 하며 에이블청아치과의원 가 공지하거나 별도로 게시한 사항을 준수하여야 합니다.
3. 회원은 에이블청아치과의원 의 명시적인 사전 동의가 없이 서비스를 이용하여 영업활동을 할 수 없으며, 이에 위반하여 발생한 결과에 대하여 에이블청아치과의원 은 책임지지 않습니다.
4. 회원은 이와 같은 영업활동과 관련하여 에이블청아치과의원 에 대하여 손해배상의무를 집니다.
5. 회원은 서비스의 이용약관, 기타 이용계약상 지위를 타인에게 양도, 증여 할 수 없으며, 이를 담보로 제공할 수 없습니다.
6. 회원은 에이블청아치과의원 의 사전 승낙없이는 서비스의 전부 또는 일부 내용 및 기능을 전용할 수 없습니다.
7. 에이블청아치과의원 은 이용고객이 방문하거나 전자서명 또는 아이디(ID)등을 이용하여 자신의 개인정보에 대한 열람 또는 정정을 요구하는 경우에는 본인 여부를 확인하고 지체없이 필요한 조치를 취하여야 합니다.
8. 에이블청아치과의원 은 이용고객의 대리인이 방문하여 열람 또는 정정을 요구하는 경우에는 대리관계를 나타내는 증표를 제시하도록 요구할 수 있습니다.
9. 에이블청아치과의원 은 개인정보와 관련하여 이용고객의 의견을 수렴하고 불만을 처리하기 위한 절차를 마련하여야 합니다.

제 4 장 서비스의 이용

제 11 조 (서비스 이용 시간)
(1) 서비스 이용은 에이블청아치과의원 의 업무상 또는 기술상 특별한 지장이 없는 한 연중무휴, 1일24시간 운영을 원칙으로 합니다. 단, 에이블청아치과의원 은 시스템 정기점검, 증설 및 교체를 위해 에이블청아치과의원 가 정한 날이나 시간에 서비스를 일시중단할 수 있으며, 예정되어 있는 작업으로 인
한 서비스 일시중단은 웹을 통해 사전에 공지합니다.
(2) 에이블청아치과의원 은 에이블청아치과의원 가 통제할 수 없는 사유로 인한 서비스중단의 경우(시스템관리자의 고의,과실없는 디스크장애, 시스템다운 등)에 사전통지가 불가능하며 타인(PC통신에이블청아치과의원 , 기간통신사업자 등)의 고의,과실로 인한 시스템중단 등의 경우에는 통지하지 않습니다.

제 12 조 (이용자ID 관리)
(1) 아이디(ID)와 비밀번호에 관한 모든 관리책임은 회원에게 있습니다.
(2) 자신의 아이디(ID)가 부정하게 사용된 경우 회원은 반드시 에이블청아치과의원 에 그 사실을 통보해야 합니다.

제 13 조 (게시물의 관리)
에이블청아치과의원 은 다음 각 호에 해당하는 게시물이나 자료를 사전통지 없이 삭제하거나 이동 또는등록 거부를 할 수 있습니다.
- 다른 회원 또는 제 3자에게 심한 모욕을 주거나 명예를 손상시키는 내용인 경우
- 공공질서 및 미풍양속에 위반되는 내용을 유포하거나 링크시키는 경우
- 불법복제 또는 해킹을 조장하는 내용인 경우
- 영리를 목적으로 하는 광고일 경우
- 범죄와 결부된다고 객관적으로 인정되는 내용일 경우
- 다른 이용자 또는 제 3자의 저작권 등 기타 권리를 침해하는 내용인 경우
- 에이블청아치과의원 에서 규정한 게시물 원칙에 어긋나거나, 게시판 성격에 부합하지 않는 경우
- 기타 관계법령에 위배된다고 판단되는 경우

제 14 조 (게시물에 대한 저작권)
(1) 회원은 서비스를 이용하여 취득한 정보를 임의 가공, 판매하는 행위 등 서비스에 게재된 자료를 상업적으로 사용할 수 없습니다.
(2) 에이블청아치과의원 은 회원이 게시하거나 등록하는 서비스 내의 내용물, 게시 내용에 대해 제 13조 각 호에 해당된다고 판단되는 경우 사전통지 없이 삭제하거나 이동 또는 등록 거부할 수
있습니다.

제 15 조 (정보의 제공)
(1) 에이블청아치과의원은 회원이 서비스 이용 도중 필요가 있다고 인정되는 다양한 정보에 대해서 전자우편이나 전화통신등의 방법으로 회원에게 제공할 수 있습니다.

제 16 조 (광고게재 및 광고주와의 거래)
(1) 에이블청아치과의원 회원에게 서비스를 제공할 수 있는 서비스 투자기반의 일부는 광고게재를 통한 수익으로부터 나옵니다. 회원은 서비스 이용시 노출되는 광고게재에 대해 동의합니다.
(2)에이블청아치과의원은 서비스상에 게재되어 있거나 본 서비스를 통한 광고주의 판촉활동에 회원이 참여하거나 교신 또는 거래를 함으로써 발생하는 손실과 손해에 대해 책임을 지지 않습니다.

제 5 장 계약 해지 및 이용 제한

제 17 조 (계약 변경 및 해지)
회원이 이용계약을 해지하고자 하는 때에는 회원 본인이 에이블청아치과의원 (www.sspureclinic.com) 웹 내의 "회원탈퇴"메뉴를 이용해 가입해지를 해야 합니다.

제 18 조 (서비스 이용제한)
(1) 에이블청아치과의원 은 회원이 서비스 이용내용에 있어서 본 약관 제 10조 내용을 위반하거나, 다음 각 호에 해당하는 경우 서비스 이용을 제한할 수 있습니다.
- 미풍양속을 저해하는 비속한 ID 및 별명 사용
- 타 이용자에게 심한 모욕을 주거나, 서비스 이용을 방해한 경우
- 기타 정상적인 서비스 운영에 방해가 될 경우
- 정보통신 윤리위원회 등 관련 공공기관의 시정 요구가 있는 경우
- 불법 홈페이지인 경우
1.상용소프트웨어나 크랙파일을 올린 경우
2.정보통신윤리 위원회의 심의 세칙 제 7조에 어긋나는 음란물을 게재한 경우
3.반국가적 행위의 수행을 목적으로 하는 내용을 포함한 경우
4.저작권이 있는 글을 무단 복제하거나 mp3를 올린 경우
- 정보통신 설비의 오작동이나 정보등의 파괴를 유발시키는 컴퓨터 바이러스 프로그램등 을유포하는 경우
(2) 상기 이용제한 규정에 따라 서비스를 이용하는 회원에게 서비스 이용에 대하여 별도 공지 없이 서비스 이용의 일시정지, 정지, 이용계약 해지 등을 불량이용자 처리규정에 따라 취할 수 있습니다.

제 6 장 손해배상 및 기타사항

제 19 조 (손해배상의 범위 및 청구)
1. 에이블청아치과의원은 서비스로부터 회원이 받은 손해가 천재지변등 불가항력적이거나 회원의 고의또는 과실로 인하여 발생한 때에는 손해배상을 하지 아니합니다.
2. 에이블청아치과의원은 전자상거래 호스팅 및 일반 호스팅의 경우 이에 준하는 서비스 이용회원일경우 불가항력적으로 발생한 경우 위 1 항의 규정에 따릅니다.
3. 회원이 서비스를 이용함에 있어 행한 불법행위로 인하여 에이블청아치과의원 가 당해 회원 이외에제 3 자로부터 손해배상 청구, 소송을 비롯한 각종의 이의제기를 받는 경우 당해 회원은 에이블청아치과의원 의 면책을 위하여 노력하여야 하며, 만일 에이블청아치과의원 가 면책되지 못한 경우는 당해 회
원은 그로 인하여 에이블청아치과의원 에 발생한 모든 손해를 배상하여야 합니다.

제 20 조 (면책사항)
(1) 에이블청아치과의원은 천재지변, 전쟁 및 기타 이에 준하는 불가항력으로 인하여 서비스를 제공할수 없는 경우에는 서비스 제공에 대한 책임이 면제됩니다.
(2) 에이블청아치과의원은 기간통신 사업자가 전기통신 서비스를 중지하거나 정상적으로 제공하지 아니하여 손해가 발생한 경우 책임이 면제됩니다.
(3) 에이블청아치과의원은 서비스용 설비의 보수, 교체, 정기점검, 공사 등 부득이한 사유로 발생한손해에 대한 책임이 면제됩니다.
(4) 에이블청아치과의원은 회원의 귀책사유로 인한 서비스 이용의 장애 또는 손해에 대하여 책임을지지 않습니다.
(5) 에이블청아치과의원은 이용자의 컴퓨터 오류에 의해 손해가 발생한 경우, 또는 회원이 신상정보
및 전자우편 주소를 부실하게 기재하여 손해가 발생한 경우 책임을 지지 않습니다.
(6) 에이블청아치과의원은 회원이 서비스에 게재한 각종 정보, 자료, 사실의 신뢰도, 정확성 등 내용에 대하여 책임을 지지 않습니다.
(7) 에이블청아치과의원은 회원 상호간 또는 회원과 제 3 자 상호간에 서비스를 매개로 하여 물품거래(무형의 물품 포함)등을 한 경우에 그로부터 발생하는 일체의 손해에 대하여 책임지지 아니합니다.
(8) 에이블청아치과의원에서 회원에게 무료로 제공하는 서비스의 이용과 관련해서는 어떠한 손해도 책임을 지지 않습니다.

제 21 조 (재판권 및 분쟁조정)
(1) 이 약관에 명시되지 않은 사항은 전기통신사업법 등 관계법령과 상관습에 따릅니다.
(2) 서비스 이용과 관련하여 에이블청아치과의원 와 회원사이에 분쟁이 발생한 경우, 쌍방간에 분쟁의해결을 위해 성실히 협의한 후가 아니면 제소할 수 없습니다.
(3) 서비스 이용으로 발생한 분쟁에 대해 소송이 제기되는 경우 에이블청아치과의원 의 본사 소재지를 관할하는 법원을 관할 법원으로 합니다.

[부 칙]
이 약관은 2023년 7월 1일부터 시행합니다.

에이블청아치과의원
비급여 수가표

비급여 수가표 (단위 : 원)
술식 분류 수가
X-Ray Panorama 10,000(비급여)
CT 100,000
Scaling scaling 60,000(비급여)
마취스켈링 악당 20,000
Resin Cervical Resin 80,000
구치 120,000
전치 120,000
전치(절단연포함) 160,000
Proximal R.F(1치당) 160,000-200,000
Inlay 세렉 Inlay 350,000
세렉 Onlay 400,000
골드 Inlay 400,000
골드 Onlay 450,000
Post Pin core 150,000
Screw post 150,000
Fiber post 150,000
Casting post(Metal) 150,000
Casting post(Gold) 200,000
core종료 전치12/구치10
Core core 50,000
Wall core 100,000
Crown Gold cr 550,000
Metal cr 350,000
PFM 400,000
PFM survey cr 450,000
세렉 cr 450,000
 전치부 올세라믹 cr 600,000
PLV 605,000(VAT포함)
실활치 미백 Non vital Bleaching 250,000
Office + Home미백    
콤비네이션 미백 770,000(VAT포함)
Office 미백 One day미백 550,000(VAT포함)
미백 약제 Six hour(10%) 70,000(오스템)
50,000
일반 진료 환자 초진상담비용(Pan포함) 30,000,PA10,000(장당)
일반진료Endo Pulpotomy 200,000
1 Canal 200,000
2 Canal 250,000
3 Canal 300,000
4 Canal 350,000
일반진료발치 유치 발치 50,000
단순 발치 100,000
난발치 200,000
매복 발치 350,000(CT별도)
Denture(비급여) Denture(악당) 1500,000
Temp denture 300,000
Re-lining 50,000
Re-base 100,000
도치수리(치아당) 100,000
male(개당) 50,000
male+metal houzing 100,000
Locater Abutment 300,000
Cr.lengthening 전치부 잇몸성형
Laser(1치당) 110,000(VAT포함)
전치부 치조골 잇몸성형 FLAP
- (1치당) 220,000(VAT포함)
#13-23 880,000(VAT포함)
#14-24 990,000(VAT포함)
#15-25 1,100,000(VAT포함)
Endo후 CLP 보험
- Laser(1치당) 50,000(비보)
- Flap(1치당) 100,000(비보)
Implant 기본형(국산) 1,300,000
수입 1,600,000
Gold 교합면 300,000추가
세라믹지대주(전치) 300,000추가
contact solder(Gold) 300,000-500,000
기공소 300,000-600,000
원내 150,000
뼈이식 A(발치동시,gap) 300,000
B 500,000
Socket lift 500,000
Ridge split 1000,000
Sinus lift 1500,000
잇몸이식 FGG 50~200
CTG(Root coverage:1치) 50~200
CTG(임플란트시) 50~200
교정 교정발치 50,000
교정 Screw 150,000
Window opening 300,000
장치 이갈이 장치(일반) 400,000
악관절 장치 60~80
이갈이장치+보톡스 500,000(300,000)
소아 유치  레진 50,000
SP Crown 120,000
Sealant 40,000
불소도포(2회) 50,000
간격유지장치 150,000

※ 에이블청아치과의원의 표준비용으로 시술방법, 이용약물 등을 비롯해 특정 기간별로 시술비용이 달라질 수 있으니, 구체적인 비용은 진료 후 확인이 가능합니다.